Social

Bebê nasce com cauda de 6 centímetros no México e médicos estudam condição antes de retirá-la

Veja no texto a foto após o membro ser removido

Cauda do bebê começou a crescer após dois meses
Bebê nasce com cauda de 6 centímetros no México e médicos estudam condição antes de retirá-la Imagem: reprodução Twitter (@Planoinforma)

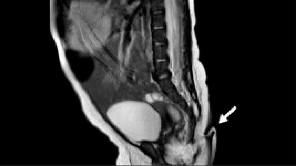
Um casal mexicano ansioso pela chegada do filho se surpreendeu após o nascimento do seu bebê. A gravidez ocorreu normalmente, com a criança nascendo saudável, porém com uma cauda de aproximadamente 6 centímetros.

Segundo o site Infobae, o caso aconteceu na área rural de Nuevo Léon, no México. De acordo com os médicos, o bebê é uma menina e a saúde está em dia, porém foram realizados exames para avaliar a cauda, que nasceu em seu cóccix.

LEIA TAMBÉM: Imagens de inauguração de poço não saem como o esperado depois que cobra aparece e causa pânico

Tanto a mãe quanto o bebê estão com boa saúde, mas a equipe médica se dedicou a identificar do que se tratava a condição. Foram realizados exames para identificar se o membro possuía conexões nervosas. Ao colocar uma agulha na cauda, a menina começou a chorar.


Os médicos recomendaram que os pais continuassem acompanhando o bebê em casa, mas solicitaram uma consulta mensal. Com dois meses de idade, os especialistas notaram que a cauda, que era lisa, coberta de pelos finos, sem cartilagem ou ossos, começou a crescer. Sendo assim, uma cirurgia de remoção foi recomendada e a operação foi realizada sem maiores problemas.

Os médicos não chegaram a uma conclusão sobre a formação da cauda, mas de acordo com informações do Journal of Pediatric Surgery Case Reports, existem cerca de 100 casos no mundo de bebês nascidos com cauda, que também são chamadas de estruturas vestigiais, formadas de tecidos, nervos, pele e vasos sanguíneos.

As caudas são removidas na maioria dos casos, mas há pessoas que mantêm a condição até a fase adulta.

⋅ ⋅ ⋅ ⋅ ⋅ ⋅ ⋅ ⋅ ⋅

LEIA MAIS:

Pena severa: Modelo mostra parte de cima do biquíni em estádio da Copa

VÍDEO: Trabalhadores são resgatados após desmoronamento de terra em obra de drenagem no TO

Vídeo mostra suspeita se aproximando de jovem que teve rosto cortado em ônibus: “Ataque cruel”

       

Tags

     

Últimas Notícias